اشتراک گذاری





ارسال تا 7 روز کاری(پس از دریافت در کشور مبدا)

اصالت کالا(100% ارجینال)

پشتیبانی 24 ساعته(7 روز هفته به صورت 24 ساعته)
در حال بروزرسانی قیمت
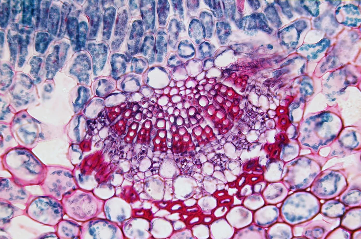
با این اسلایدهای آماده، دنیای میکرو را کشف کنید. آمادهسازیهای دائمی، آمادهسازیهای از پیش ساخته و نگهداریشده هستند. برای کنتراست بالا، بیشتر آنها رنگ آمیزی شده اند. شامل: 1. Penicillium, W.M. 2. Rhizopus Sporongia, W.M. 3. Chlamydomonas, W.M. 4. Pine Leaf, C.S. 5. Leaf of Winter Jasmine, C.S. 6. Corn Root Tip, L.S. 7. Vicia Faba Young Root C.S. 8. Corn Stem C.S. 9. Corn Stem L.S. 10. Cucurbita Stem C.S. 11. Cucurbita Stem L.S. 12. Basswood Stem C.S. 13. Basswood Stem L.S. 14. Pollen W.M. 15. Daphnia Sp W.M. 16. Hydra W.M. 17. Paramecium W.M. 18. Rotifer W.M. 19. Honey Bee Mouth Parts W.M. 20. Cardiac Muscle Sec. 21. Skeletal Muscle L.S,C.S. 22. Dog Small Intestine C.S. 23. Spinal Cord C.S. 24. Motor Neurons Cell W.M. 25. Blood Smear Human
واتساپ